Skip to main content

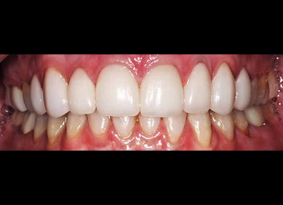
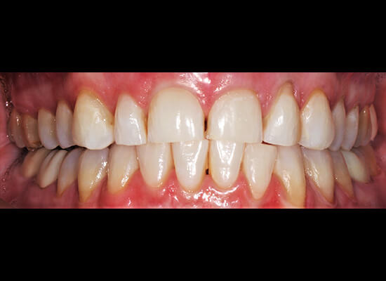
Case #1630

Let’s Get Social

Patient Portal Login

Access Our Patient Portal


La Jolla Cosmetic Dentistry and Orthodontics

Get Directions

Get In Touch. We Would Love to Hear From You!

If you are ready to see how your smile can improve with Dr. Kohani, then contact La Jolla Cosmetic Dentistry & Orthodontics at 858-295-0603 and schedule a consultation. We’d love to hear from you, and we’re excited to get started on bettering your oral health! Call our office today to learn more about what we offer.